Aesthetic Dental Zone
About
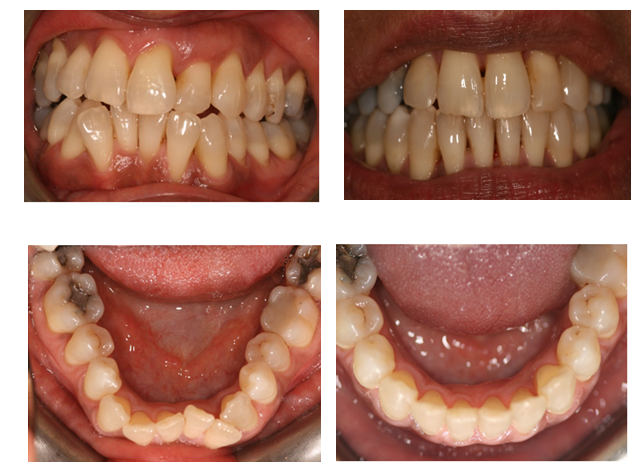
Situated in London, Aesthetic Dental Zone provides a full spectrum of dental services in a modern and comfortable setting. Private dental care is available, giving patients access to the latest treatments and technologies. The team delivers a wide variety of dental services, from routine care to advanced procedures. General services include check-up, hygiene (scale & polish), x-rays, extractions, crowns. Weekend appointments are offered, making it easier for patients to fit dental visits around their schedules. New patients are welcome at Aesthetic Dental Zone, where the focus is always on delivering exceptional dental care. Clear communication is central to the practice's philosophy, ensuring patients are fully informed at every stage of their treatment. The practice values feedback from patients and continually looks for ways to improve the quality of care provided. The practice is equipped with modern dental technology to support accurate diagnosis and effective treatment. Patient comfort is a priority, and the team takes time to explain each procedure and address any concerns.






