Capital Dental
About
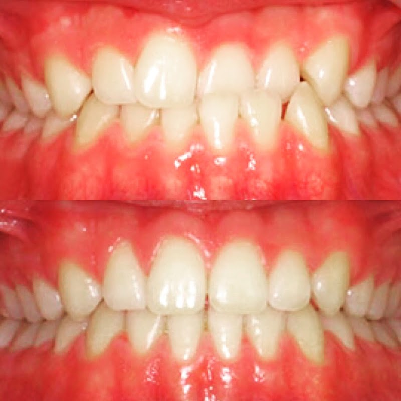
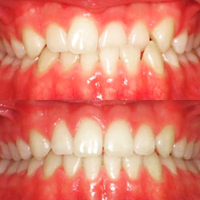
Based in London, Capital Dental is committed to providing high-quality dental care tailored to each patient's needs. As a private practice, it provides tailored treatment plans with dedicated appointment times. Weekend appointments are offered, making it easier for patients to fit dental visits around their schedules. Treatment plans are carefully tailored to individual needs, with clear explanations of options and costs provided upfront. Capital Dental continues to invest in modern equipment and training to ensure patients receive the best possible care. The practice is equipped with modern dental technology to support accurate diagnosis and effective treatment. Patient comfort is a priority, and the team takes time to explain each procedure and address any concerns. A thorough initial consultation is offered to all new patients, including a comprehensive oral health assessment. Preventive care is emphasised, with regular check-ups and hygiene appointments forming the foundation of the practice's approach. The practice maintains strict infection control and sterilisation protocols, meeting all current regulatory standards.
Opening Hours
Services
CQC Inspection
Latest inspection:






