Dental Care Centre
About
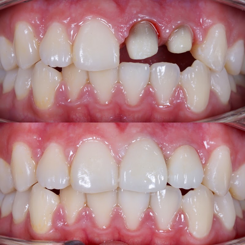
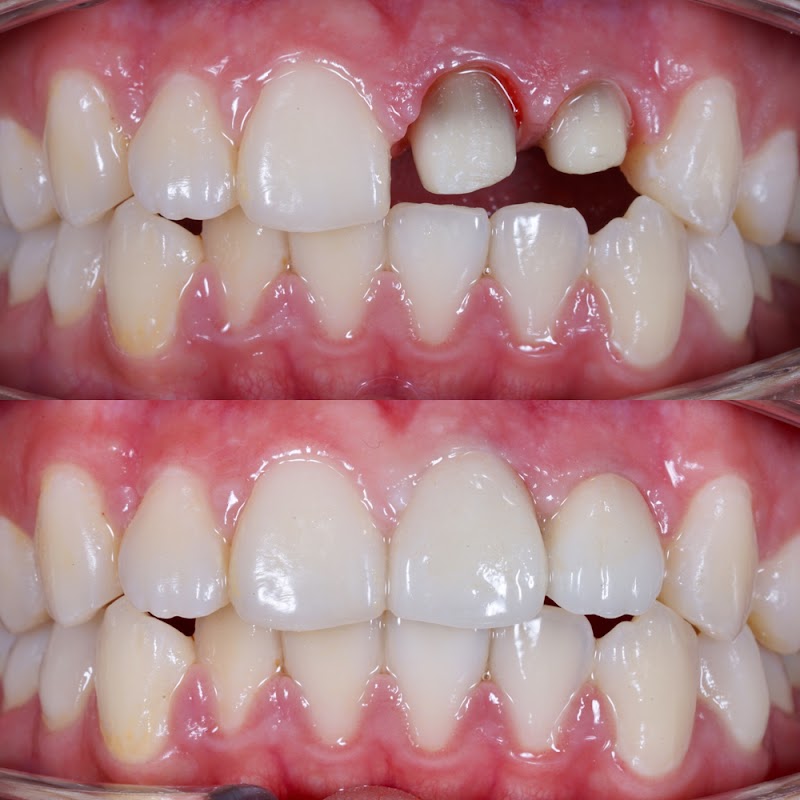
Dental Care Centre operates from a five-minute walk south of New Cross Gate station in SE14, offering NHS dentistry for children and private treatment across general, cosmetic, and specialist services. The practice functions as a five-floor facility with eight named dentists, including Dr Javier Perez (GDC 225487), a specialist in oral surgery and dental implants who has overseen more than 5,000 implant placements, and Dr Romain Prasad (GDC 85971), who holds postgraduate qualifications in restorative dentistry and facial aesthetics. Extended weekday hours run until 8:00 PM on Mondays, Tuesdays, and Thursdays, with Saturday morning appointments available until 2:00 PM. The practice provides same-day emergency care during working hours and an out-of-hours advice service from 6:00 PM to 9:00 PM weekdays for registered patients. Treatments include dental implants, Invisalign for adults and children, porcelain veneers, crowns and bridges, dental braces, teeth whitening, and full mouth X-rays (£50). Cosmetic services encompass smile makeovers, orthodontic correction of crossbite and overcrowding, and dermal fillers. A dedicated hygienist provides scaling, polishing, and oral hygiene instruction. The practice passed all CQC inspection areas in January 2019 and holds a 4.7-star Google rating across 906 reviews. NHS patients can book routine examinations and hygiene appointments by telephone on 020 7639 3323.
Opening Hours
Services
CQC Inspection
Latest inspection:






