Family Dental Care
About
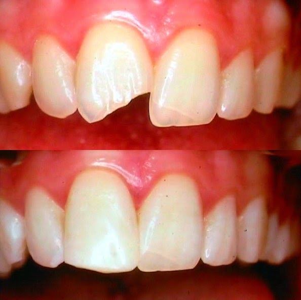
Family Dental Care is a well-established dental practice in London, dedicated to helping patients achieve and maintain excellent oral health. As a private practice, it provides tailored treatment plans with dedicated appointment times. Patients have rated the practice 4.7 out of 5 stars across 486 reviews, highlighting the quality of care provided. The team at Family Dental Care takes pride in building lasting relationships with patients through trust, transparency, and outstanding care. The practice is equipped with modern dental technology to support accurate diagnosis and effective treatment. Patient comfort is a priority, and the team takes time to explain each procedure and address any concerns. A thorough initial consultation is offered to all new patients, including a comprehensive oral health assessment. Preventive care is emphasised, with regular check-ups and hygiene appointments forming the foundation of the practice's approach. The practice maintains strict infection control and sterilisation protocols, meeting all current regulatory standards. Treatment plans are carefully tailored to individual needs, with clear explanations of options and costs provided upfront.
Opening Hours
Services
CQC Inspection
Latest inspection:

