Shades Clinic
About
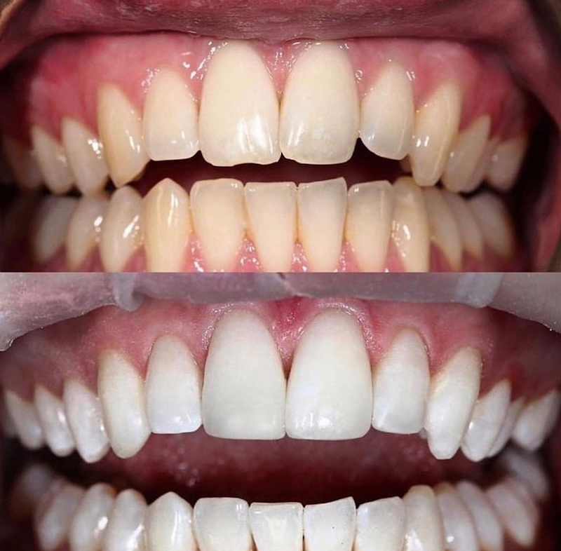
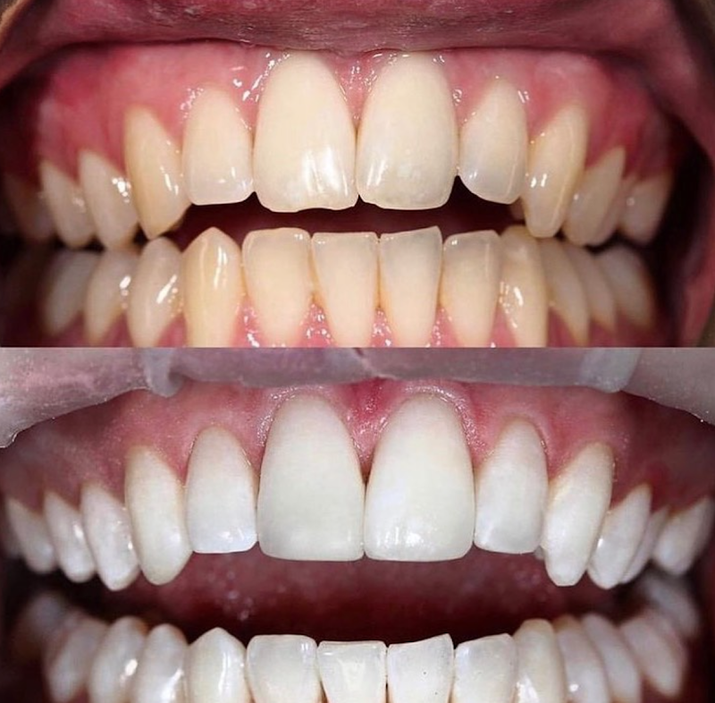
Shades Clinic is a well-established dental practice in London, dedicated to helping patients achieve and maintain excellent oral health. The practice offers private dental treatment, allowing patients to benefit from a wide choice of materials and techniques. Patients can access a full suite of dental treatments under one roof. General services include check-up, hygiene (scale & polish), x-rays, extractions, crowns, and specialist treatments such as Veneers, Teeth Whitening, Implants, Invisalign, Braces. Since attending for dental treatment he has given up smoking which was a huge achievement. Weekend appointments are offered, making it easier for patients to fit dental visits around their schedules. The team at Shades Clinic takes pride in building lasting relationships with patients through trust, transparency, and outstanding care. The practice is equipped with modern dental technology to support accurate diagnosis and effective treatment. Patient comfort is a priority, and the team takes time to explain each procedure and address any concerns. A thorough initial consultation is offered to all new patients, including a comprehensive oral health assessment.






