Smile Cliniq - Finchley Dentist
About
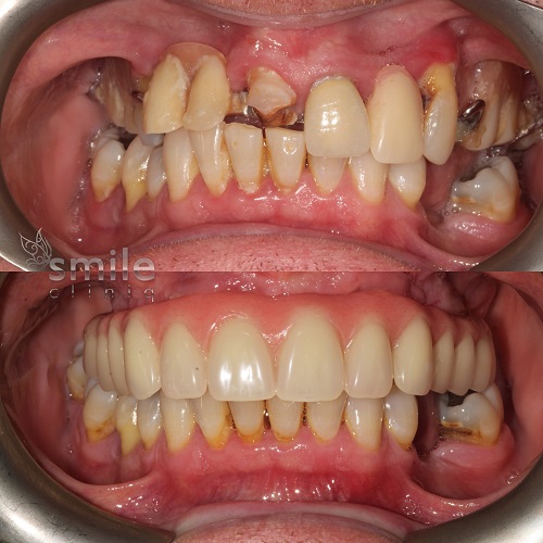
Smile Cliniq - Finchley Dentist is a well-established dental practice in London, dedicated to helping patients achieve and maintain excellent oral health. As a private practice, it provides tailored treatment plans with dedicated appointment times. Weekend appointments are offered, making it easier for patients to fit dental visits around their schedules. A thorough initial consultation is offered to all new patients, including a comprehensive oral health assessment. Smile Cliniq - Finchley Dentist welcomes new patients and is committed to making every visit a positive experience. Clear communication is central to the practice's philosophy, ensuring patients are fully informed at every stage of their treatment. The practice values feedback from patients and continually looks for ways to improve the quality of care provided. The practice is equipped with modern dental technology to support accurate diagnosis and effective treatment. Patient comfort is a priority, and the team takes time to explain each procedure and address any concerns.






