Smile Dental Clinic
About
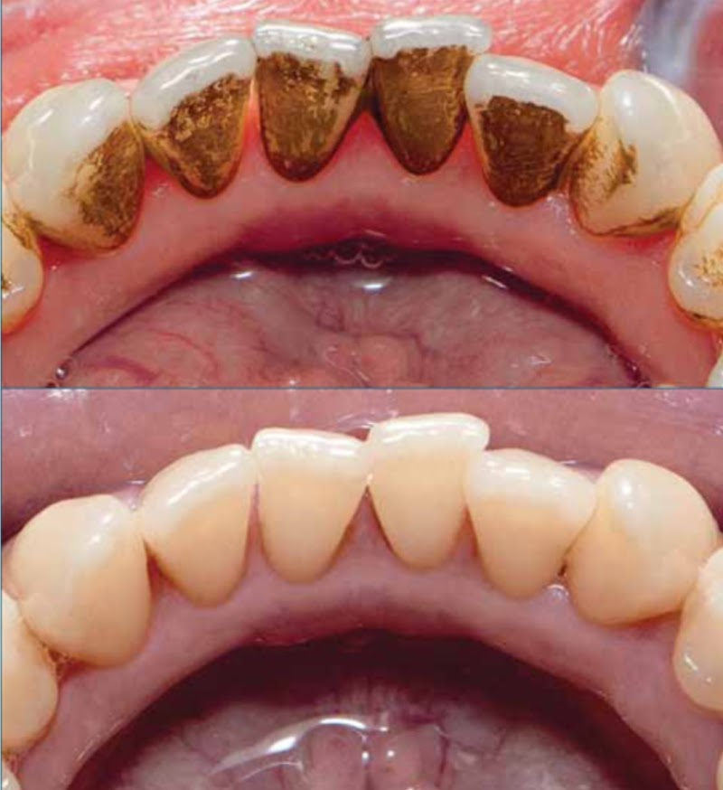
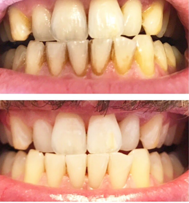
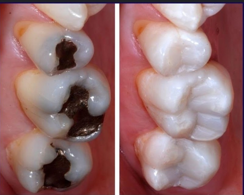
Patients in London and beyond trust Smile Dental Clinic for reliable, professional dental care across a broad range of treatments. The practice is registered to provide NHS dental treatment alongside its private services. Weekend appointments are offered, making it easier for patients to fit dental visits around their schedules. The practice is equipped with modern dental technology to support accurate diagnosis and effective treatment. Smile Dental Clinic welcomes new patients and is committed to making every visit a positive experience. Patient comfort is a priority, and the team takes time to explain each procedure and address any concerns. A thorough initial consultation is offered to all new patients, including a comprehensive oral health assessment. Preventive care is emphasised, with regular check-ups and hygiene appointments forming the foundation of the practice's approach. The practice maintains strict infection control and sterilisation protocols, meeting all current regulatory standards. Treatment plans are carefully tailored to individual needs, with clear explanations of options and costs provided upfront.
Opening Hours
Services
CQC Inspection
Latest inspection:






