Soni Dental Implants
About
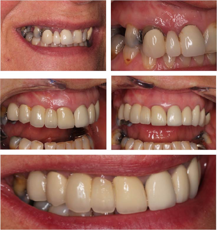
Soni Dental Implants serves patients in London and the surrounding area, delivering professional dental care in a welcoming environment. As a private practice, it provides tailored treatment plans with dedicated appointment times. Weekend appointments are offered, making it easier for patients to fit dental visits around their schedules. The practice maintains strict infection control and sterilisation protocols, meeting all current regulatory standards. Whether for routine check-ups or more complex procedures, Soni Dental Implants aims to provide a comfortable and professional experience for every patient. Clear communication is central to the practice's philosophy, ensuring patients are fully informed at every stage of their treatment. The practice values feedback from patients and continually looks for ways to improve the quality of care provided. The practice is equipped with modern dental technology to support accurate diagnosis and effective treatment. Patient comfort is a priority, and the team takes time to explain each procedure and address any concerns. A thorough initial consultation is offered to all new patients, including a comprehensive oral health assessment.






