West Kensington NHS Dental Care
About
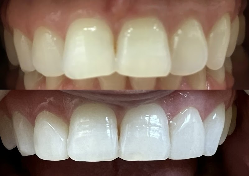
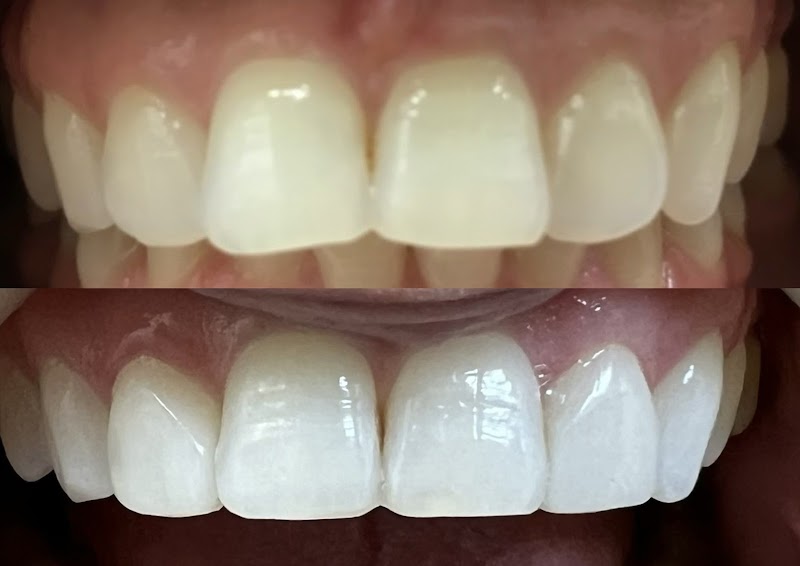
Based in London, West Kensington NHS Dental Care is committed to providing high-quality dental care tailored to each patient's needs. Private dental care is available, giving patients access to the latest treatments and technologies. The practice offers a range of services including also provide private treatments, including cosmetic dentistry to improve your smile. Weekend appointments are offered, making it easier for patients to fit dental visits around their schedules. West Kensington NHS Dental Care continues to invest in modern equipment and training to ensure patients receive the best possible care. The practice is equipped with modern dental technology to support accurate diagnosis and effective treatment. Patient comfort is a priority, and the team takes time to explain each procedure and address any concerns. A thorough initial consultation is offered to all new patients, including a comprehensive oral health assessment. Preventive care is emphasised, with regular check-ups and hygiene appointments forming the foundation of the practice's approach.






