Dr Adeel Ali | Implantology and Full Jaw Teeth In A Day
About
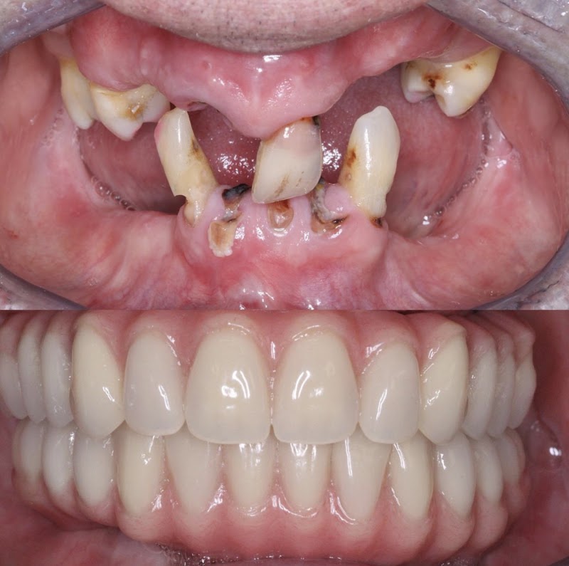
Patients in London and beyond trust Dr Adeel Ali | Implantology and Full Jaw Teeth In A Day for reliable, professional dental care across a broad range of treatments. As a private practice, it provides tailored treatment plans with dedicated appointment times. Weekend appointments are offered, making it easier for patients to fit dental visits around their schedules. The practice maintains strict infection control and sterilisation protocols, meeting all current regulatory standards. Whether for routine check-ups or more complex procedures, Dr Adeel Ali | Implantology and Full Jaw Teeth In A Day aims to provide a comfortable and professional experience for every patient. The practice is equipped with modern dental technology to support accurate diagnosis and effective treatment. Patient comfort is a priority, and the team takes time to explain each procedure and address any concerns. A thorough initial consultation is offered to all new patients, including a comprehensive oral health assessment. Preventive care is emphasised, with regular check-ups and hygiene appointments forming the foundation of the practice's approach.






