Perfect Smile - Dentist in Earlsfield
About
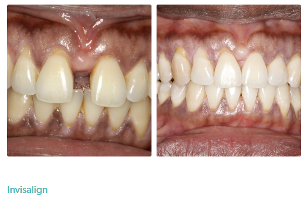
Perfect Smile - Dentist in Earlsfield is a well-established dental practice in London, dedicated to helping patients achieve and maintain excellent oral health. As an NHS-registered practice, it provides affordable dental treatment for eligible patients. The clinic accepts NHS patients. Weekend appointments are offered, making it easier for patients to fit dental visits around their schedules. Perfect Smile - Dentist in Earlsfield welcomes new patients and is committed to making every visit a positive experience. The practice is equipped with modern dental technology to support accurate diagnosis and effective treatment. Patient comfort is a priority, and the team takes time to explain each procedure and address any concerns. A thorough initial consultation is offered to all new patients, including a comprehensive oral health assessment. Preventive care is emphasised, with regular check-ups and hygiene appointments forming the foundation of the practice's approach. The practice maintains strict infection control and sterilisation protocols, meeting all current regulatory standards.






