SmileUp Dental
About
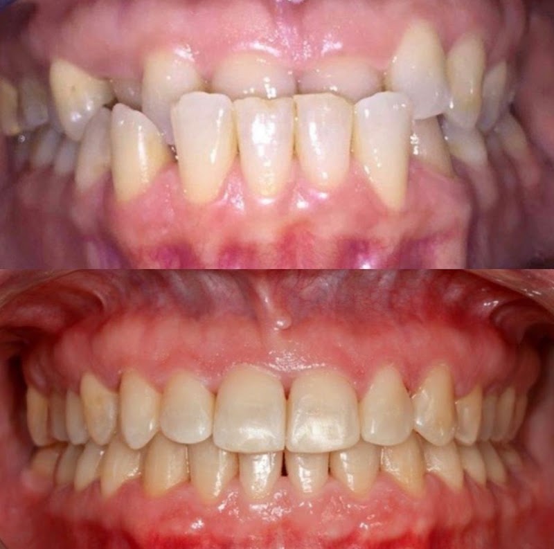
Located on Lewisham Road in Lewisham, a six-minute walk from Deptford Bridge station, SmileUp operates as a private practice with extended evening availability Monday to Thursday until 7:30 PM, and Saturday morning appointments from 9:00 AM. The practice specialises in orthodontics, offering Invisalign and metal braces alongside general dentistry. Staff members are multilingual, with Spanish, French, Portuguese, and Italian spoken in addition to English. Principal dentist Richard Sardinha leads the team, supported by Victoria Rincon (periodontics, oral medicine, implantology) and Barbara Dodd (general dentistry with cosmetic focus). Treatment scope includes root canal therapy, dental implants, composite fillings, porcelain veneers, teeth whitening (home, Zoom, and Enlighten systems), and surgical extractions performed by a specialist oral surgeon. The practice uses dental laser technology and offers hygiene therapy with Airflow polishing. Emergency appointments are available from £80. A 4.9-star Google rating across 276 reviews reflects patient satisfaction. The practice passed all CQC inspection standards at its last assessment in November 2017. Emergency dental care is available, and the practice answers phones during lunch hours. SmileUp has operated since 2010 and currently runs a clear aligners promotion starting from £1,595, which includes free retainers, teeth whitening, and a complimentary hygiene appointment.
Opening Hours
Services
CQC Inspection
Latest inspection:






