Sparkle Dental Boutique
About
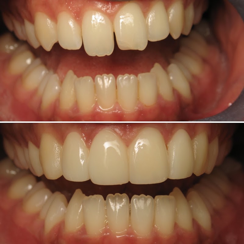
Located on Boston Road in Hanwell, five minutes' walk from Boston Manor tube station, this private practice has operated for over 24 years. It holds CQC registration (Provider ID: 1-153017973) and maintains a 4.7-star Google rating across 243 reviews. The practice offers cosmetic dentistry, general dentistry, dental implants, orthodontics (including Invisalign and Six Month Smiles), dentures, root canal treatment, and hygiene services. Porcelain veneers and composite bonding are listed specialisms. Treatment fees range from £56 for routine examinations to £3,062 for implant placement and restoration, with 0% finance available. Opening hours run Monday to Friday 8:00 AM–5:00 PM, with Saturday appointments 8:00 AM–2:00 PM. The practice handles emergency calls via 020 8567 4344. Side road parking is available on Haslemere Avenue. Staff provide personalised written treatment plans following consultation. The practice has received the "Best Dental Practice London" award twice and claims to have placed thousands of veneers, implants, and braces. GDC registration details for individual dentists are not listed on the website's public pages.
Opening Hours
Services
CQC Inspection
This practice is registered with the Care Quality Commission but has not yet been inspected.
View full CQC report →





