Zental Dental Cricklewood
About
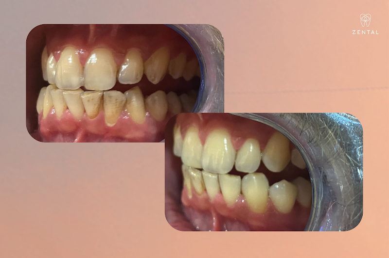
Located on Cricklewood Broadway in northwest London, Zental Dental Cricklewood sits an 11-minute walk from Kilburn station. The private practice operates Monday to Saturday, 9:00 AM to 6:00 PM, with weekend availability for appointments. The practice is led by Dr. Ihsaan Al-Hadad and provides a broad spectrum of treatments spanning general dentistry, orthodontics, implantology, and cosmetic procedures. Specific offerings include Invisalign, Six Month Smiles®, Angel Aligner, and various fixed appliances (ceramic, clear, metal, and lingual braces). Restorative services encompass crowns, bridges, dentures, root canal treatment, and tooth extraction. Implant work includes standard placements, All on 4, All on 6, pterygoid, zygomatic, and subperiosteal implants, supported by bone grafting and sinus lift procedures. Cosmetic dentistry covers teeth whitening, composite bonding, veneers, snap-on smiles, cosmetic gum surgery, and gum grafts. The practice also offers mouth cancer screening, gum disease management, dental hygiene treatments, tongue tie treatment, and sedation dentistry for anxious patients. Consultations for implants, Invisalign, and cosmetic treatments are free. Emergency consultations cost £88. Specialist consultations range from £60 to £180 depending on discipline. Finance options include interest-free loans available for 12 months, with extended terms up to 60 months at 9.9% APR. The practice holds a 4.9-star Google rating across 515 reviews.






